잇몸병에 대해 알아봅니다.
잇몸염증은 세균에 의해 발생하는 질환입니다.
잇몸병
- 잇몸병은 치아 주위 조직에 영향을 미치는 질병입니다.
- 잇몸병은 주로 세균에 의해 유발되며, 치아를 잃을 수 있는 심각한 문제를 일으킬 수 있습니다.
잇몸염증의 원인
- 잇몸염증은 세균에 의해 유발됩니다.
- 잇몸을 근본적으로 치료하려면 세균의 증식을 억제하는 것이 중요합니다.
| 잇몸병 | 잇몸염증 원인 |
|---|---|
| 치아 주위 조직에 영향을 미침 | 세균에 의한 발병 |
| 치아 손실 가능성 존재 | 세균 증식 억제 필요 |
잇몸병은 치아와 잇몸 주변의 조직에 발생하는 질병으로, 대부분 세균에 의해 발생한다고 알려져 있습니다. 그러나 최근 연구에 의하면 실은 세균보다는 교합이 잇몸염증의 주된 원인이라는 것이 밝혀졌습니다. 교합이란 치아들이 물리적으로 맞닿는 것을 말하며, 올바른 교합이 되지 않으면 치아에 과도한 부담이 가해져 잇몸 주변의 조직에 염증을 일으키게 됩니다. 따라서 잇몸병을 예방하고 관리하기 위해서는 치과에서 정기적인 구강검진을 받고, 올바른 교합을 유지하는 것이 중요합니다. 올바른 치아 관리와 교합 조절은 잇몸염증을 예방하고 치아의 건강을 유지하는 데 큰 도움이 될 것입니다.
- 잇몸병은 세균이 아니라 교합이 주된 원인이다.
- 올바른 교합을 위해 정기적인 구강검진이 필요하다.
- 치아 관리와 교합 조절은 잇몸염증 예방에 중요하다.
악성 치주염 관련 정보 요약
치아가 서로 맞물리는 방식에 변화가 생긴 경우, 잇몸 질환으로 인해 지지 구조가 약해져 치아가 이동할 수 있습니다. 이는 약해진 바닥에서 가구를 옮기는 것과 유사합니다. 고름은 감염의 명백한 지표이며, 피부 상처 주변의 고름이 의미하는 것과 같습니다. 또한 통증과 부종이 동반되어 식사와 양치가 고통스럽게 될 수도 있습니다. 뿌리가 노출된 경우, 뜨거운, 차가운, 달콤한 음식과 음료에 대한 민감성이 증가할 수 있습니다. 차가운 음료를 섭취할 때 치아에 날카로운 통증을 느낄 수 있습니다. 이와 같은 증상은 악성 치주염의 초기 단계로 해석될 수 있습니다. 조기 발견과 치료가 중요하며, 정기적인 구강 위생이 필요합니다. 부정확한 치주 관리로 치주염이 심화될 경우 치아를 잃는 위험이 있습니다. 치과 전문의를 방문하여 전문적인 치주 치료를 받는 것이 좋습니다. 중요키워드: 악성 치주염
- 치아 이동 및 잇몸 질환
- 고름의 의미
- 식사 및 양치질의 고통
- 민감성 증가 및 통증
- 치주염 초기 증상과 위험성
장기적으로 잇몸병은 치아와 관련된 여러 가지 문제를 야기할 수 있습니다. 잇몸병의 초기증상은 알기 쉽게 미세하지만, 치아와 잇몸에 민감한 변화를 일으키기 시작합니다. 정기적인 구강 위생 관리와 전문가의 조언을 받는 것이 중요합니다. 치과 의사와의 정기적인 예방적 방문은 잇몸 건강을 유지하는 데 도움이 될 수 있습니다. 잇몸 건강을 유지하는 것은 전반적인 구강 건강을 지원하는 데 중요합니다. 치아 및 잇몸의 건강은 우리의 전체 건강과 밀접한 관련이 있습니다. 잇몸병은 무시할 수 없는 문제이며, 조기에 조치를 취하는 것이 중요합니다.
- 잇몸병의 초기증상을 주의 깊게 모니터링하십시오.
- 치과 의사와의 상담 및 정기적인 치과 검진 예약을 유지하십시오.
- 일상적인 구강 위생 관리에 신경을 써주세요. 칫솔 교체 주기를 준수하고 치실 사용을 습관화하세요.
- 건강한 식습관을 유지하고 담배를 피하십시오. 건강한 생활습관은 잇몸 건강에 도움이 됩니다.
| 잇몸병 초기증상 | 예방 방법 |
|---|---|
| 치아 민감도 | 치과 의사 상담 및 정기적인 치과 검진 |
| 치아 노출 증상 | 일상적인 구강 위생 유지 및 건강한 식습관 유지 |
잇몸병을 적극적으로 관리하고 조치를 취함으로써 잇몸과 치아의 건강을 유지할 수 있습니다. 꾸준한 관리와 주의가 잇몸병을 예방하고 치료하는 데 중요합니다.구강 건강을 소홀히하지 않도록 주의하세요.
잇몸병의 주요 내용
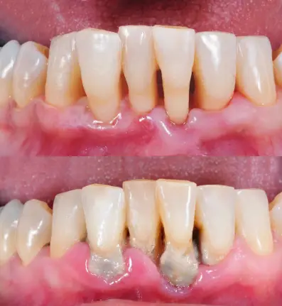
잇몸에 갇힌 박테리아와 음식 부스러기가 축적되어 구취가 남을 수 있습니다. 건강한 잇몸은 분홍색이며 단단해야 합니다. 잇몸이 붉어지거나 부어 오르면, 이는 플라크 축적으로 인한 감염의 징후일 수 있습니다.
| 잇몸 상태 | 해석 |
|---|---|
| 분홍색, 단단한 잇몸 | 건강한 상태 |
| 붉은 잇몸 | 플라크 축적으로 인한 감염 징후 |
| 부은 잇몸 | 감염이 심각한 상태 |
이와 같은 증상이 나타날 경우, 치과 의사를 방문하여 적절한 치료를 받는 것이 중요합니다. 잇몸 건강은 전체적인 건강에 큰 영향을 미치므로 꾸준한 관리가 필수적입니다.잇몸병은 흔하고 중요한 구강 질환입니다. 잇몸의 혈관이 염증을 일으키면, 잇몸이 붉게 발적하거나 출혈할 수 있습니다. 치은염은 잇몸병 중 가장 흔한 것으로, 초기 단계에서 치아 주변을 둘러싸고 있는 섬유로 덮인 조직의 염증을 나타냅니다. 피가 나지 않는 건강한 잇몸은 무엇보다도 중요합니다. 정기적인 칫솔질과 구강 세안은 잇몸병을 예방하고 조기 발견할 수 있습니다.
- 잇몸병은 잇몸이 붉거나 출혈하는 상황을 두고 일반적으로 사용됩니다.
- 치은염은 잇몸병 중 가장 흔한 형태로서, 잇몸 주변 조직의 염증을 나타냅니다.
- 건강한 잇몸에서는 피가 나지 않아야 하며, 치은염의 초기 징후 중 하나로 지속적인 출혈이 있습니다.
- 치은염을 예방하고 조기 발견하기 위해 정기적인 칫솔질과 치석 제거가 중요합니다.
잇몸병의 적시 조치 중요성과 증상 인식
잇몸병 초기 단계 관리: 정기 치과 검진과 적절한 구강 위생 습관 중요
치료 전문가 상담 강조: 문제 예방 및 조기 해결이 구강 건강과 웰빙 유지에 도움
잇몸병의 발견은 중요하며 조용한 증상의 진행을 방지
식단 조절의 중요성: 설탕 섭취량과 잇몸 건강 상의 관련성 강조
잇몸병은 구체적인 호르몬 변화로 인해 잇몸 조직의 다양한 반응을 일으킬 수 있습니다. 특히 여성의 경우 임신, 사춘기, 월경, 폐경기와 같은 생리적인 변화로 인해 잇몸이 더욱 민감해지고 질환에 쉽게 걸릴 수 있습니다. 이러한 호르몬 변화는 잇몸 조직이 플라크에 반응하는 방식에 영향을 미쳐 염증을 증가시키고 잇몸 질환의 위험을 높일 수 있습니다. 플라크를 조절하기 위해 음식과 음료물의 섭취에 주의해야 합니다. 과도한 당분이 함유된 식단은 플라크 형성에 영향을 줄 수 있기 때문에 식습관에 신경 써야 합니다. 또한, 입안의 박테리아는 간식을 먹을 때마다 먹이를 받아 산을 생성하는데, 이는 플라크를 유발할 수 있습니다. 계절적 변화도 잇몸 건강에 영향을 줄 수 있습니다. 날씨 변화에 따라 식물이 피거나 시들듯이, 잇몸은 호르몬 변화에 따라 다르게 반응할 수 있습니다. 따라서 여성들은 특히 호르몬 변화가 큰 임신, 사춘기, 월경, 폐경기 기간에 잇몸 건강에 더욱 신경써야 합니다.
- 식습관 조절
- 간식 섭취 주의
- 계절적 변화 대비
잇몸병 더욱이, 당뇨병과 같은 질환은 신체의 면역 반응을 손상시켜 잇몸을 공격하는 감염을 포함한 감염을 퇴치하는 것을 더 어렵게 만듭니다.
항우울제, 심장약, 고혈압 약과 같은 특정 약물은 타액의 흐름을 감소시켜 입을 건조하게 만들 수 있습니다. 타액은 음식 입자를 씻어내고 박테리아가 생성한 산을 중화하여 미생물 침입자로부터 입을 보호하는 데 필수적입니다. 구강 건조증은 사막과 같아서 물이 부족하여 유해한 유기체가 무단으로 번식할 수 있습니다.
수영을 잘하는 가족력이 있다고 생각해 보세요. 당신이 선천적으로 수영을 잘할 수도 있지만, 여전히 연습하고 기술을 연마해야 합니다. 잇몸 질환잇몸병
잇몸병에 대한 예방은 매우 중요합니다. 구강 위생 습관을 꾸준히 유지하고 이를 통해 잇몸의 건강을 유지하는 것은 우리의 일상 생활에서 가장 중요한 부분입니다. 또한, 일상적인 양치질과 틀어짐이 없는 깔끔한 보틀링 등을 통해 치아와 잇몸을 건강하게 유지할 수 있습니다.
- 잇몸 질환 민감성: 잇몸 질환은 유전적인 영향을 받을 수 있으며, 흡연과 담배 사용은 잇몸 질환을 악화시킬 수 있습니다.
- 방지 방법: 매일 꾸준한 칫솔질과 협착음모등을 통해 잇몸을 깨끗하게 유지합니다. 또한 구강 내 청결을 위해 쓰레기 같은 박테리아가 쌓이지 않도록 주의해야 합니다.
위에서 언급된 방법들을 따르면 건강한 잇몸을 유지할 수 있을 뿐만 아니라 잇몸병을 예방할 수 있습니다. 건강한 입냄새와 아름다운 미소를 유지하기 위해 잇몸 건강은 절대 무시할 수 없는 요소입니다.







'건강' 카테고리의 다른 글
| 종아리 근육통 원인 치료 (0) | 2024.05.31 |
|---|---|
| 손발이 저릴때 (0) | 2024.05.31 |
| 머리 아프고 속 울렁거릴때 (0) | 2024.05.28 |
| 림프암 증상 (0) | 2024.05.28 |
| 유아구내염 증상 치료 방법 (0) | 2024.05.27 |
댓글